उत्तर प्रदेश

TB रोगियों का पोषण भत्ता हुआ दोगुना, अब 1000 रुपये मिलेगा

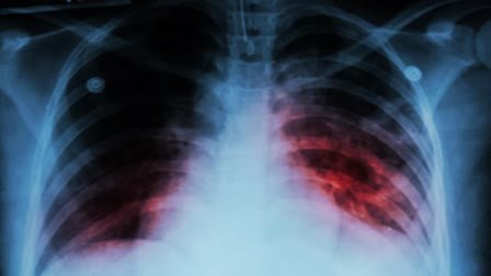
टीबी रोगियों की उपचार दर बढ़ेगी और मृत्यु दर घटेगी : डॉ.सूर्यकान्त

लखनऊ : किंग जार्ज चिकित्सा विश्वविद्यालय के रेस्पिरेटरी मेडिसिन विभाग के विभागाध्यक्ष डॉ. सूर्यकान्त का कहना है कि ‘टी.बी. मुक्त भारत’ प्रधानमंत्री का ड्रीम प्रोजेक्ट है, टीबी रोगियों के लिए बढ़ाये गये पोषण भत्ता से टी.बी. उन्मूलन कार्यक्रम को बल मिलेगा। उन्होंने कहा कि कुपोषण और टीबी एक सिक्के के दो पहलू हैं। कुपोषण से टीबी रोग के विकसित होने का जोखिम बढ़ता है, टीबी होने के कारण कमजोरी के साथ वजन घटता है। इससे कुपोषण की स्थिति और खराब हो जाती है। इसलिए टीबी रोगियों में कुपोषण को दूर करने से उपचार के प्रति प्रतिक्रिया बेहतर होगी, मृत्यु दर कम होगी और लम्बे चलने वाले उपचार के परिणाम बेहतर होंगे।

भारत सरकार ने इसी को ध्यान में रखते हुए 500 रुपये प्रतिमाह की जगह 1000 रुपये प्रतिमाह टीबी रोगियों का पोषण भत्ता कर दिया है। यह वृद्धि एक नवम्बर 2024 से प्रभावी होगी और सभी नए लाभार्थियों के साथ-साथ प्रभावी तिथि के बाद मिलने वाले लाभों पर भी लागू होगी। यह प्रोत्साहन 3,000 रुपये की दो बराबर किस्तों में दिया जाएगा, जिसमें 3,000 रुपये का पहला लाभ निदान के समय अग्रिम के रूप में दिया जाएगा और 3,000 रुपये का दूसरा लाभ उपचार के 84 दिन पूरे होने के बाद दिया जाएगा। जिन लाभार्थियों के उपचार की अवधि छह महीने से अधिक है, उन्हें 1,000 रुपये प्रति माह का नया लाभ दिया जाएगा। परिवार के सदस्यों में कुपोषण से संबंधित टीबी के प्रति संवेदनशीलता को दूर करने के लिए टीबी रोगियों, परिवार के सदस्यों (घरेलू संपर्क) को निक्षय मित्र पहल के अंतर्गत शामिल करना प्रधानमंत्री टीबी मुक्त भारत अभियान (पीएमटीबीएमबीए) को मंजूरी दी गई है। नए संक्रमणों को रोकना तथा टीबी से संबंधित मृत्यु दर को कम करना। उपरोक्त सभी उपायों से पोषण संबंधी सुधार में सहायता मिलने की उम्मीद है। भारत में टीबी के उपचार और परिणामों में सुधार तथा इसके कारण होने वाली मृत्यु दर में कमी लाना है।

ज्ञात हो कि डा. सूर्यकान्त वर्तमान में राष्ट्रीय क्षय उन्मूलन कार्यक्रम के जोनल टास्क फोर्स (नॉर्थ जोन) के अध्यक्ष हैं। जोनल टास्क फोर्स (नॉर्थ जोन) के अन्तर्गत छह प्रदेश और तीन केन्द्र शासित प्रदेश आते हैं। उन्होने बताया कि वह ‘प्रधानमंत्री टीबी मुक्त भारत’ अभियान में अपने स्तर से अहम भूमिका निभा रहे हैं। ड्रग रेजिस्टेन्ट टी.बी. के उपचार के लिए भारत में पांच ’’सेन्टर ऑफ एक्सीलेन्स’’ चिन्हित किये गये हैं, जिसमें से एक केजीएमयू के रेस्पिरेटरी मेडिसिन विभाग में है। इसका चयन विश्व की दो अन्तर्राष्ट्रीय संस्थाओं – इन्टरनेशनल यूनियन अंगेस्ट ट्यूबरकुलोसिस एण्ड लंग डिसीज एवं युनाईटेड स्टेस ऑफ एजेन्सी फॉर इन्टरनेशनल डेवलपमेन्ट एवं स्वास्थ्य एवं परिवार कल्याण मंत्रालय भारत सरकार के सहयोग से किया गया है।

डा. सूर्यकान्त ने बताया कि “सेन्टर ऑफ एक्सीलेन्स“ के तहत ड्रग रेजिस्टेन्ट ट्यूबरकुलोसिस के खात्मे के लिए उ0प्र0 की 25 करोड़ जनता, 18 मण्डल के 75 जिले के डीआर-टी.बी. सेन्टर एवं जिला क्षय रोग केन्द्र, 56 जिला डीआर-टी.बी. सेन्टर, 24 नोडल डीआर-टीबी सेन्टर, उप्र के 67 मेडिकल कालेज में डीआर-टी.बी. के प्रशिक्षण मानिटरिंग एवं मैनेजमेन्ट एवं शोध का कार्य किया जा रहा है। सभी 75 जिलो में टी.बी. विशेषज्ञों एवं टी.बी. से सम्बन्धित स्वास्थ्य कार्यकर्ताओं को इस कार्यक्रम के तहत प्रशिक्षित किया जा रहा है। विगत कई वर्षों से टी.बी. उन्मूलन में उप्र व देश के अन्य प्रदेशो में नेतृत्व कर रहे हैं। उनका कहना है कि अगर जरूरत पड़ी तो उप्र के पड़ोसी राज्यों में भी टी.बी. उन्मूलन का कार्य करेगें।

Related Articles

Back to top button